Лікування карієсу зубів
90% населення землі хоча б раз за життя стикається із карієсом. Це — найпоширеніше захворювання зубів. При несвоєчасному лікуванні карієс призводить до таких ускладнень, як запалення кореневої системи зубів у вигляді пульпіту та періодонтиту (формування гранульом на коренях), втраті зубів при несвоєчасному лікуванні, запаленню ясен.
Що таке карієс зубів
Карієс зубів (лат. Caries) — це патологічний процес руйнування зубної емалі. Зубна емаль — найтвердіша тканина в людському організмі, яка на 95% складається із мінералізованих тканин. ЇЇ склад, це переважно гідроксиапатити, фторапатити, карбонат-апатити, 1,2 % органічних речовин, 3,8 % води зв’язаної з кристалами й органічними компонентами.
Товщина емалі найбільша на жувальних зубах — 3,5 мм, найменша — в ділянці пришийкової емалі (лише 0,1 мм). Природою передбачено так, що тканина витримує перепади температур, дію кислот. Але під дією наслідків життєдіяльності бактерій втрачає свою міцність та руйнується.
Види карієсу
За локалізацією:
- Фісурний – коли руйнування емалі відбувається по анатомічних борозенках і поглибленнях на поверхні зуба.
- Апроксимальний. Ділянки між зубами вважаються одними із важкодоступних для гігієни. Не видалені залишки їжі стають поживним середовищем для бактерій.
- Пришийковий — каріозне ураження в зоні шийки зуба (перехід коронки зуба в корені)
- Карієс кореня зуба.
За глибиною ураження коронкової частини зуба:
- поверхневий
- початковий
- середній
- глибокий
За перебігом:
- гострий
- хронічний
Наш стоматолог-терапевт
Анастасія Пустовойт
Проводить лікування зубів дорослих та дітей: лікування карієсу, пульпіту, періодонтиту, зубних каналів, виконує реставрацію зубів. Лікує захворювання слизової оболонки порожнини рота.
Причини виникнення карієсу зубів
Головна причина появи карієсу — активність бактерій. В процесі їх життєдіяльності виділяються кислоти, що вимивають фтор, кальцій із зубів. Поживним середовищем для бактерій є м’який зубний наліт, що утворюється внаслідок:
- надмірного споживання солодкої їжі
- поганої гігієни ротової порожнини (не регулярне чищення зубів, не використання зубної нитки, ополіскувачів)
- низького вмісту фтору у питній воді
- недостатнього слиновиділення. В нормі у слині міститься лізоцим (речовина з антибактеріальними властивостями). Тому чим більше слини, тим здоровіші зуби
- стресів
- терапії антибіотиками або хімієтерапії
- порушення обміну речовин.
Ознаки карієсу
- поява поверхневої крейдяної або з часом темної плями на коронці зуба, почорніння фісур зуба, зміна кольору зуба
- поява неприємного запаху із рота
- підвищена чутливість до гарячого, солодкого або холодного
- пульсуючий біль або дискомфорт при кусанні.
Всі ці симптоми — підстави записатися негайно до стоматолога на прийом.
Діагностика та методи лікування карієсу
Методи діагностики карієсу:
- візуальний огляд. За допомогою дзеркала, інтраоральної камери лікар виявляє наявність плям або дефектів на контактних, дистальних (задніх) поверхнях зубів.
- зондування. Метод дозволяє оцінити глибину порожнини та стан каріозних тканин
- рентгенографія (ортопантомографія, прицільний рентген-знімок, КТ).
У яких випадках потрібно звернутися до стоматолога?
Нагодою для візиту до стоматолога є усі перелічені ознаки карієсу. Додатково запланувати відвідування до лікаря варто перед встановленням металокерамічних або керамічних коронок, процедурою імплантації, установкою брекетів.
Усі ці маніпуляції потребують попередньої санації (лікування) ротової порожнини.
Етапи лікування карієсу
Залежно від глибини каріозного ураження виділяють два методи лікування: без препарування (ремінералізуюча терапія) та з препаруванням. На ранніх стадіях карієсу дієвою є ремінералізуюча терапія. Цей метод лікування передбачає професійну гігієну порожнини рота, призначення спеціальних лікувальних зубних паст або гелів, що можуть застосовуватися шляхом втирання в зубну емаль або наповненням індивідуально виготовленої капи. Курс лікування та системність визначає лікар-стоматолог. При запущених стадіях проводиться оперативне видалення каріозного руйнування. Процедура проводиться за алгоритмом:
- підготовка ротової порожнини
- ін’єкційне знеболення
- препарування каріозної порожнини
- реставрація каріозної порожнини з повним відновленням анатомічної форми зуба
- шліфування та полірування поверхні реставрації
Сучасні композиційні матеріали для реставрацій ідеально відновлюють естетику зубного ряду. Лікар підбирає прозорість та відтінок матеріалу аби пролікований зуб не відрізнявся від сусідніх здорових.
Вид матеріалів підбирає лікар залежно від конкретного випадку, виду карієсу, локалізації ураження.
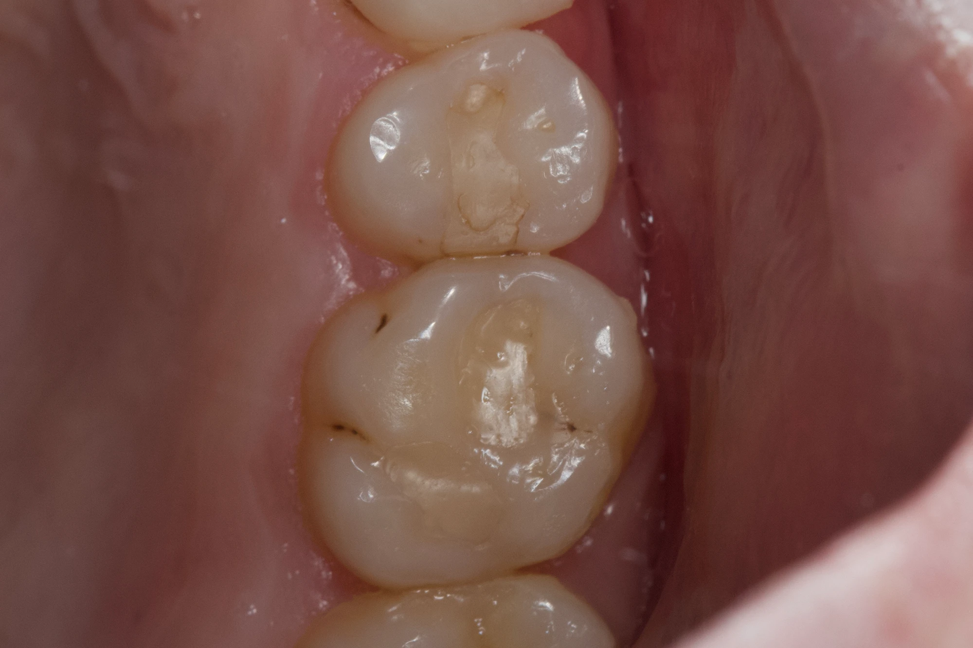
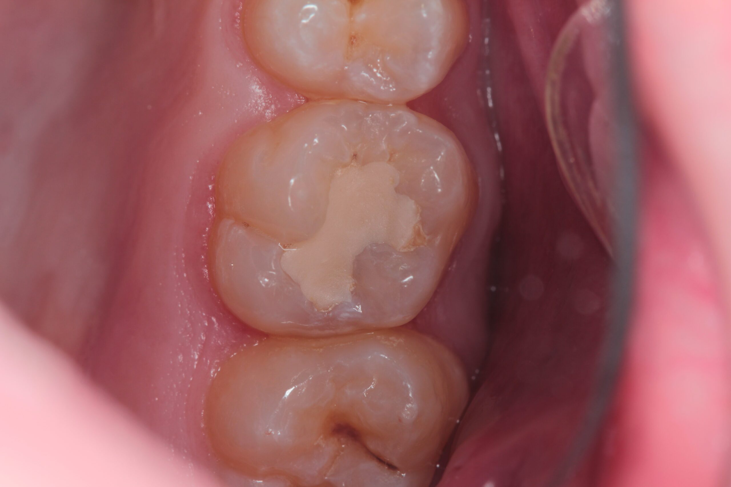
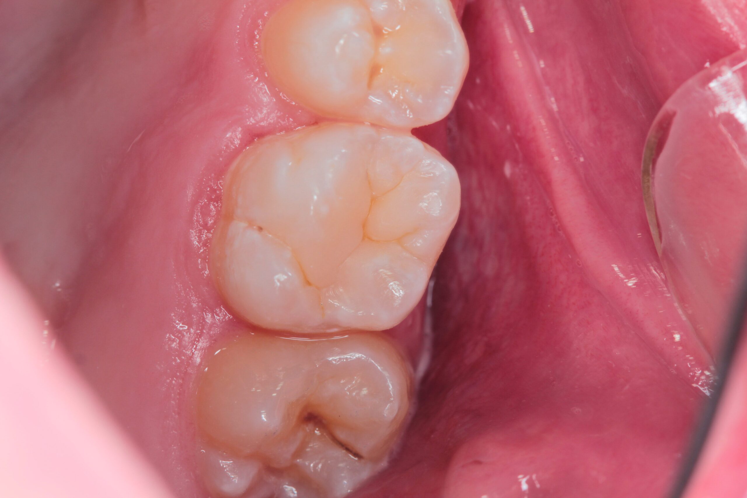
Приклади робіт лікаря-стоматолога
Естетична реставрація. До / після
Естетична реставрація. До / після
Естетична реставрація. До / після
Профілактика карієсу зубів
Найкращою профілактикою карієсу є дотримання простих рекомендацій щодо гігієни ротової порожнини, здорового харчування. Стоматологи радять:
- мінімум два рази на день чистити зуби із використанням зубної нитки та ополіскувача
- відвідувати стоматолога мінімум 1 раз на пів року з метою профілактики — дорослим, 1 раз на 3 місяці — дітям
- не вживати надто гарячу, надто холодну їжу аби запобігти появі мікротріщин на зубній емалі
- використовувати зубні пасти із фтором для підвищення міцності емалі. Крім регіонів із підвищеним природним вмістом фтору у воді.
- за можливості, кожний прийом їжі закінчувати твердою їжею, наприклад: морква, яблуко. Ці продукти із досить щільною текстурою під час кусання та жування допомагають зняти м’який шар зубного нальоту, знизивши концентрацію бактерій на поверхні зубів, або хоча б прополоскати порожнину рота водою.
- слідкувати за рівнем цукру в раціоні. Спеціалісти ВООЗ радять знизити добове споживання цукру до 25 г на добу. У дорослого українця подекуди добова норма цукру переважає 100 г. Окрім загрози проблем з обміном речовин високий рівень вуглеводу створює поживне середовище для розвитку бактерій, появи карієсу.
Прості рекомендації допоможуть підтримати здоров’я ротової порожнини та мінімізують ймовірність появи карієсу у дорослих та дітей.
Вартість основних послуг з лікування карієсу
Запишіться на консультацію
до стоматолога












